Пошкоджені очі, груди та геніталії, рентген розкриває наслідки обстрілів в Ірані
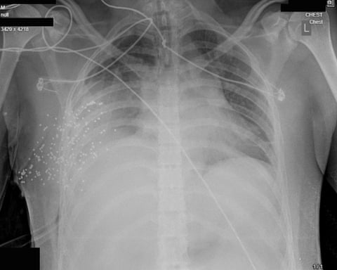
Рентгени та КТ-знімки з іранського госпіталю показують жахливі травми протестувальників. Люди отримували поранення в обличчя, груди та геніталії, часто смертельні або призводять до постійної інвалідності. Металеві дробини й кулі залишалися всередині тіл, а лікарі працювали в умовах масових жертв, пише The Guardian.
У січні під час масового придушення протестів в Ірані десятки людей отримали катастрофічні травми. Рентгени та КТ-знімки, отримані з одного госпіталю, показують, що багато постраждалих були поранені у життєво важливі частини тіла – обличчя, груди, очі та геніталії. Кілька людей втратили одне або обидва ока, у інших кулі та дробини застрягли в голові, шиї або грудях, викликаючи крововиливи, пошкодження внутрішніх органів та шок.

За словами лікарів та експертів, які оцінювали знімки поза Іраном, така кількість тяжких травм у короткий проміжок часу відповідає масовій надзвичайній ситуації, навіть для великих лікарень у США. «Ці пацієнти – масова жертва. Навіть у нашій лікарні це спрацювало б як сигнал для масового прийому постраждалих», – зазначає експерт із травматології.
Більшість поранень спричинені дробовими патронами та кулями високого калібру з автоматичної зброї, які застосовували Іранські Революційні гвардії. При близькому обстрілі дробові патрони діють як сотні маленьких куль одночасно, руйнуючи м’які тканини обличчя, грудної клітки та очей. Наприклад, у випадку юнака на ім’я Алі*, у правій частині грудної клітки застрягло понад 170 дробин. Його легеня частково колабувала, а навколо неї накопичувалися кров і газ. Лікарі кажуть, що навіть із негайною операцією шанси на виживання дуже низькі.

Деякі пацієнти отримували прямі кулі у голову. Один чоловік має кулю в мозку з газовою бульбашкою – травма вважається смертельною. Інший – із кулями біля хребта. Медичні експерти підтверджують, що це зброя, призначена для вбивства, а не для стримування натовпу. В окремих випадках постраждалі отримували поранення в геніталії та тазову область. Одна жінка середнього віку була поранена дробом у стегна та таз – майже 200 металевих куль залишилися всередині її тіла. Лікарі попереджають, що такі травми часто призводять до інвалідності, стерильності та уражень сечовидільної системи.

Фахівці також підкреслюють закономірність у пораненнях: більшість людей стріляли в обличчя, груди та геніталії. Це свідчить про цілеспрямоване завдання шкоди, а не випадкові постріли. «Це не випадкове влучання в хаотичному натовпі, це націлене поранення життєво важливих частин тіла», – зазначає один із лікарів. Серед постраждалих були і діти, і люди похилого віку. Один із медиків розповів про 14-річну дівчинку, якій вистрілили прямо в ліве око. Травма була настільки тяжкою, що око довелося видалити. Її молодший брат та батьки були в шоці – хлопчик тремтів, а мама намагалася врятувати дитину під час хаосу на протестах.

Інші пацієнти включали бабусь та людей середнього віку, поранених із дробом під час спроб допомогти родині або просто опинившись поруч. У деяких випадках, навіть при проведенні реанімації, врятувати людей не вдалося.
Медичні експерти наголошують, що ці знімки відображають лише тих, кого вдалося врятувати на момент обстеження. Багато людей, поранених кулею у голову, не дожили до КТ. Тому справжні масштаби кровопролиття значно більші. «Використання живих патронів та крупнокаліберних куль проти цивільних осіб – надзвичайно рідкісне і страшне явище навіть у світовій практиці», – додає д-р Рогіні Хаар, яка оцінювала рентгени для Guardian.
Ці рентгени та КТ-дослідження стали ще одним доказом масштабного насильства проти протестувальників в Ірані та цілеспрямованого застосування зброї для тяжких і часто незворотних поранень.
Також, Іран викликав німецького посла через протести на конференції в Мюнхені – Spiegel.
Іран готовий передати РФ запаси збагаченого урану та тимчасово згорнути ядерну програму.